Dezenfektanlar Corona (Korona) Virüs Akılkartı
Ambulans ve acil sağlık araçlarının temizliği ve dezenfeksiyonu için önerilen ürünler ve özellikleri.
Ürün*
Kullanım yeri
Avantajları
Dezavantajları
Alkol Çözeltileri (Etil/izopropil)(en az %70lik) (Etil alkol, Etanol Cas No: 64-17-5)**
SteteskoplarPulsoksimetreler
Defibrilatör...
Corona (Korona) Virüs Güncellemesi 2 Nisan
Daha önceki yazımızda Sağlık Bakanlığı Bilim Kurulu tarafından yayınlanan Coronavirüs ile ilgili ilk rehberi ve sonrasında yayınlanan 11 Mart ve 25 Mart güncellemelerini sizlerle...
COVID-19 Teması Olan Sağlık Çalışanlarının Değerlendirilmesi Güncelleme 01.04.2020
Daha önceden yazdığımız COVİD-19 Temaslı Sağlık Çalışanının Değerlendirilmesi yazısının 01.04.2020 tarihinde güncellemesini yayınlayan Sağlık Bakanlığı'nın orjinal pdfsi için tıklayınız.
Temas Riski için RİSKSİZ Görülen...
El Yıkama Kamu Spotu
https://youtu.be/dD2uuENHUf0?t=9
El yıkama ve kişisel hijyen önlemleri COVID-19 ( Yeni Koronavirüs Hastalığı) dan korunmada en önemli yöntemlerdendir.
Kişisel Koruyucu Ekipmanların (KKE) Uygun Giyilmesi Çıkartılması
Güncellenme Tarihi: 07.05.2020
Bilindiği üzere Korona Virüs (COVID-19) şühpesi olan ve olası vaka tanımına uyan bütün hastalardan önce orofaringeal sürüntü alınmalı, ideal olarakta devamında da...
Corona (Korona) Virüs Güncellemesi 11 Mart
Daha önceki yazımızda Sağlık Bakanlığı Bilim Kurulu tarafından Coronavirüs ile ilgili yayınladığı ilk rehberi ve 25 şubat güncellemesini sizlere paylaşmıştık. Fakat virüsün hızla yayılması...
SVT – VT Ayrımı Akıl Kartı ESC 2019
Geniş QRS'li taşikardiler; %80 VT, %15 dal bloklu taşikardiler ve %5 olarak da antegrad iletimli SVT şeklinde karşımıza gelir. SVT yönetiminde kullanılan ilaçlar çoğu...
Dar Kompleks Düzenli Taşikardiler
Dar QRS kompleksli düzenli taşikardiler, genellikle atriyal veya atriyoventriküler düğüm kaynaklı olup supraventriküler taşikardiler olarak adlandırılır. Kalp hızı >100 atım/dakika (bpm) olup, genellikle QRS...
Nazogastrik Sonda (Tüp) Uygulaması
Hastane öncesi ve acil servislerde nazogastrik sonda (tüp) uygulaması sık yapılan , lastik veya silikon bir kateterin burun deliğinden sokulup farenks ve özefagustan geçirilerek...
Corona (Korona) Virüs Güncellemesi 25 Şubat
Daha önceki yazımızda Sağlık Bakanlığı Bilim Kurulu tarafından Coronavirüs ile ilgili yayınladığı ilk rehberin özetlemesini yapmıştık. Fakat virüsün hızla yayılması ve ülkemiz sınırına kadar...
QT Aralığı
QT aralığı (intervali) Q dalga başlangıcından T dalga sonuna kadar geçen süre aralığına denir. Bu interval ventriküllerin depolarizasyonu (QRS Kompleksi) ve repolarizasyonu (ST /T dalgası) ...
KBRN Nedir Ve Neden Önemlidir?
KBRN kimyasal, biyolojik, radyoaktif ve nükleer tehlikeli maddelerden kaynaklanan zararlı ve tehlikeli durumların kısaltması olarak kullanılan dünya çapında bir terimdir. Tek tek ele alacak...
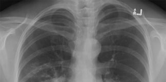
Silüet İşareti Nedir?
Eğer bir intratorasik opasite herhangi bir yapı ile anatomik kontakt halinde ise onun sınırlarını siler. Akciğer grafisinde bu lokalize opasitenin; kalbin mediastenin veya diafragmanın...
Coronavirüs “2019-nCoV” Hakkında Bilgilendirme
Coronavirüsler ilk olarak hayvanlarda tanımlanmışlardır. Hayvandan insana bulaş vakaları 2003 yılında "SARS-CoV" ve 2012 yılında "MERS-CoV" olarak adlandırılmıştır. "SARS-CoV", Severity Acute Respiratory Syndrome isminin...































