Tibia ve fibula Şaft Kırığıkları, en yaygın uzun kemik kırıkları arasında yer alsa da, izole fibula kırıkları nadir görünmektedir ve izole şaft kırıklarının insidansı üzerine çok az literatür bulunmaktadır. Bunun bir nedeni ise izole fibula şaft kırıklarının büyük çoğunluğunun non-operatif olarak tedavi edilmesidir. Bu yazıda şaft kıkları anlatılmıştır. Fibulanın diğer kırıklarına aşağıdaki linklerden ulaşabilirsiniz.
Fibula Kırıklarının Türleri
- Proksimal Fibula Kırıkları: Fibula’nın diz eklemine yakın kısmında oluşan kırıklardır. Bu kırıklar, fibula başını veya boynunu etkileyebilir ve nadiren izole olarak meydana gelir.
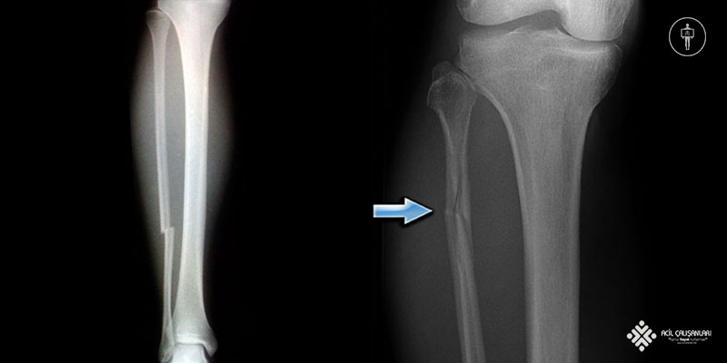
- Fibula Şaft Kırıkları: Fibula’nın orta kısmında, uzun kemik şaftında meydana gelen kırıklardır. Genellikle direkt travmalar veya burkulmalar sonucu oluşur. İzole fibula şaft kırıkları nadirdir ve genellikle tibia kırıklarıyla birlikte görülür.
- Distal Fibula Kırıkları: Fibula’nın alt kısmında, ayak bileğine yakın bölgede meydana gelen kırıklardır. Bu kırıklar, ayak bileği stabilitesini etkileyebilir ve en yaygın fibula kırıkları arasında yer alır. Distal fibula kırıkları, “lateral malleol kırığı” olarak da bilinir ve ayak bileği burkulmalarıyla ilişkili olabilir. Malleol kırıkları yazımıza buradan ulaşabilirsiniz.


Fibula, bacakta bulunan iki uzun kemikten biridir ve tibianın aksine, şaft açısından yük taşımayan bir kemiktir. Tibianın posterolateralinde yer alan fibula, çok daha küçük ve incedir. Bacakta lateral tarafta aşağı doğru uzanarak ayak bileği seviyesinde lateral malleolusu oluşturur.

Fibula ile tibia, medial yüzlerinde bulunan interosseous membrane (interosseöz zar) aracılığıyla bağlantılıdır. Bu sindesmoz bağ iki kemiğin stabiletisini sağlar ve çok sınırlı bir hareketlilik oluşturur.

Fibulanın başı, boynu, şaftı ve lateral malleolus olarak adlandırılan distal ucu gibi yapısal olarak birkaç belirgin bölüm bulunmaktadır. Medial malleolu ise tibianın distal ucu oluşturmaktadır.

Fibula şaftı, bacak kaslarının, anterior kompartman kasları (extensor digitorum longus, extensor hallucis longus, peroneus tertius), lateral kompartman (peroneus longus, peroneus brevis), yüzeysel posterior kompartman (soleus) ve derin posterior kompartman (tibialis posterior ve flexor hallucis longus) için bir orijindir. Fibulanın üçgen şekli, şaft üzerindeki kasların yerleşim noktalarından etkilenmektedir.

Yüzeysel peroneal sinir, lateral kompartmanın kaslarını sinirler ve ayağın eversiyonundan ve çok daha az ölçüde plantar fleksiyondan sorumludur. Bu sinirin zarar görmesi, bu hareketlerde kayıplara neden olabilir. Yüzeysel peroneal sinir, ayağın dorsumuna (üst yüzüne) duyusal sinyal gönderir.
Derin peroneal sinir, anterior kompartmanın kaslarını sinirler ve ayağın ve parmakların dorsifleksiyonundan sorumludur. Derin peroneal sinirin hasar görmesinin yaygın bir sonucu olan düşük ayak, ayağın dorsifleksiyon kapasitesinin kaybı ile karakterizedir. Derin peroneal sinir, ilk dorsal web alanında duyulardan sorumludur.

Gerçekten izole fibula kırığı olması yani başka herhangi bir ligamentöz veya kemik yaralanması olmayan kırılması oldukça nadirdir. Genellikle bacakta direkt bir yaralanmanın sonucu olarak ortaya çıkarlar; bu genellikle bir düşüş, direkt bir darbe veya spor yaralanması veya motorlu taşıt kazası gibi darbe travmasıdır. Ateşli silah yaralanmaları, izole bir fibula kırığının oluşabileceği bir diğer mekanizmadır.


İzole fibula kırıkları, yani tibia kırığı olmaksızın sadece fibulanın kırıldığı durumlar, oldukça nadir görülür. Tibia kırıkları genellikle genç erkeklerde ve yaşlı kadınlarda daha sık gözlemlenirken, izole fibula kırıkları daha çok genç popülasyonda görülme eğilimindedir. Bu durum, genellikle genç sporcular, özellikle temas sporlarıyla uğraşanlar, motorlu taşıt kazalarına karışanlar, ve yaya ile motorlu taşıt kazalarında yer alan bireylerde daha yaygındır. Bu gruplar, izole fibula kırıkları açısından en yüksek risk altında olan gruplar olarak kabul edilir.

Tanı öykü fizik mauyene grafi ile konur.

- Osteoid osteoma
- Ewing sarkomu
- Osteosarkom
- Osteomiyelit
- Kas spazmı
- Ayak bileği burkulması
- Tendon kopması
- Kompartman sendromu
- Sinir sıkışması

İzole fibula şaft kırıkları çok nadir görülür ve genellikle bacağa doğrudan travma sonucu oluşur. Özellikle yakın zamanda bacağa doğrudan darbe almış ve fibula üzerinde palpasyonla hassasiyet bulunan bir hastada, fibula şaft kırığı düşünülmelidir. Bu tür bir durumda, fizik muayenede bacakta travma ile uyumlu olabilecek travma izi, ekimoz gibi cilt bulgularının değerlendirilmesi önem taşır. İzole fibula kırıkları nadir görüldüğünden, tüm ekstremitenin incelenmesi, özellikle o bölgenin üstündeki ve altındaki eklemlerin hareket açıklığının değerlendirilmesi gerekir.
Ağrının niteliği genellikle akut ve keskindir, uzun süreli olmaması veya yanma ya da ateş ağrısı gibi sinir patolojisiyle uyumlu niteliklere sahip olmaması beklenir.

Diz herhangi bir ligamentöz instabilite açısından kontrol edilmeli, ayak bileği ise herhangi bir yaralanma açısından dikkatle değerlendirilmelidir. Alt bacak röntgenlerine ek olarak, diz ve ayak bileğinin özel görüntülemeleri diğer kırıkları ekarte etmek açısından önemlidir. Fibula veya tibianın geri kalanında başka kırık olmaksızın fibula boynunda bir kırık tespit edilirse, bu durum sindesmotik yaralanmayı düşündürür ve “Maisonneuve kırığı” olarak adlandırılır. Benzer şekilde, ayak bileği ekleminin 15 cm yakınında bir fibula kırığı varsa, tibia kemik tutulumu, bağ yaralanması veya her ikisinin birden olması muhtemeldir.

Çoğu durumda, izole fibula şaft kırıkları için tedavi nonoperatif (cerrahi olmayan) olarak gerçekleştirilir. Fibula kemiği, tibia gibi ağırlık taşıyan bir kemik olmadığı için, bu tür kırıkların tedavisi genellikle konservatif yaklaşım ile yönetilir. Bu, kırığın cerrahi müdahale gerektirmeden, alçı veya destekleyici cihazlarla immobilizasyonu ve ağrı kontrolü ile iyileşebileceği anlamına gelir. Tedavi süresince hastanın ağırlık taşıma durumu ve aktivite düzeyi, kırığın iyileşme durumuna göre düzenlenir.


İzole fibula şaft kırığı olan hastalarda prognoz genellikle iyidir. Bu hastalar çoğunlukla konservatif ve semptomatik tedavi ile yönetilir. Uzun vadeli kısıtlamalar nadir görülür, ve hastalar genellikle minimal komorbiditeleri varsa 6-8 hafta içinde iyileşirler. Tedavi sürecinde, ağrı yönetimi ve mobilizasyonun dikkatle planlanması, hastanın hızlı bir şekilde normal aktivitelerine dönmesine yardımcı olur.

Fibula şaftı kırıklarıyla ilişkili komplikasyonlar nadirdir.
- Yüzeyel peroneal sinirin hasarı
- Arteriyel hasar
- Kompartman sendromu
da bildirilmiştir.
Kaynamamalar da görülebilir ve semptomatik olabilir; bu durumda sıkıştırma plağı ve otojen kemik grefti altın standart tedavidir. Bu plaklar irritabl hale gelmedikçe ömür boyu yerinde bırakılabilir. Çıkarılması genellikle en az 12 aya kadar ertelenir.

İzole fibula şaft kırıkları genellikle ameliyatsız ve semptomatik olarak tedavi edilir. Bununla birlikte, bu tür hastaların takibi, Ortopedistler tarafından koordine edilmelidir.

- https://www.ncbi.nlm.nih.gov/books/NBK556139/

















