Perikardiyal effüzyon, kalbi çevreleyen perikardiyal kese içinde normalden fazla sıvı birikmesi olarak tanımlanır. Sağlıklı bireylerde perikardiyal kese içerisinde 15–50 mL arasında seröz sıvı bulunur. Biriken bu sıvı transüda, eksüda veya kan (sanguinöz) özellikte olabilir.

Tanı, klinik değerlendirme ile görüntüleme yöntemlerinin birlikte kullanılmasıyla konur. Ekokardiyografi, kalp etrafında sıvı varlığını doğrulamada birincil ve temel tanı yöntemidir. Hastalarda göğüs ağrısı ve dispne gibi semptomlar görülebilir; elektrokardiyografi ve ek görüntüleme yöntemleri tanıyı destekleyici bilgiler sağlar.
Tedavi; effüzyonun nedeni, miktarı ve hemodinamik etkisine göre belirlenir. Küçük ve asemptomatik effüzyonlar izlemle takip edilebilirken, büyük veya semptomatik effüzyonlarda perikardiyosentez veya cerrahi girişimler gerekebilir.
ANATOMİ
Perikardiyal kese; kalbin epikardına yapışık tek katlı hücrelerden oluşan ince visseral perikard ile mediastinal yapılarla ilişkili kalın, fibröz pariyetal perikarddan oluşur. Sağlıklı bireylerde bu kese içinde 15–50 mL seröz sıvı bulunur.
ETİYOLOJİ
Perikardiyal effüzyonun etiyolojisi oldukça geniştir:
- Enfeksiyöz: Viral (en sık), bakteriyel (Tüberküloz – gelişmekte olan ülkelerde sık), fungal.
- İnflamatuvar / Romatolojik: SLE, Romatoid Artrit, Sjögren sendromu.
- Neoplastik: Metastatik (Akciğer kanseri en sık), primer kardiyak tümörler.
- Travma: Künt/Penetran travma, İyatrojenik (Kateter işlemleri).
- Kardiyak: Post-MI (Dressler), kalp cerrahisi sonrası.
- Vasküler: Tip A Aort Diseksiyonu.
- Diğer: Üremi (Böbrek yetmezliği), Hipotiroidi (Miksödem), Radyasyon, İlaçlar.
PATOFİZYOLOJİ
Perikardiyal effüzyonun hemodinamik etkisi, sıvının miktarından çok birikim hızına bağlıdır.
- Akut Sıvı Birikimi: Perikard esnemeye fırsat bulamaz. 100-150 mL gibi küçük miktarlar bile intraperikardiyal basıncı hızla artırarak kardiyak tamponada yol açabilir.
- Kronik Sıvı Birikimi: Perikard yavaş yavaş esner ve genişler. 1-2 litreye kadar sıvı birikimi bile hemodinamik bozukluk yaratmadan tolere edilebilir.
Sıvı birikimi sağ kalbi dıştan komprese eder, diyastolik dolumu bozar, atım hacmi ve kardiyak debi düşer. Başlangıçta taşikardi ile kompanse edilmeye çalışılır, ancak süreç ilerledikçe hipotansiyon ve şok tablosu gelişir.
KLİNİK BULGULAR
Semptomlar effüzyonun hızı ve altta yatan nedene göre değişir. Küçük effüzyonlar genellikle asemptomatiktir.
- Semptomlar: Göğüs ağrısı (plöritik, öne eğilmekle azalan), dispne, ortopne, çarpıntı, halsizlik.
- Fizik Muayene:
- Kalp Sesleri: Derinden gelir (Boğuk kalp sesleri).
- Ewart Bulgusu: Sol skapula altında matite ve bronşial sesler (büyük effüzyonlarda).
- Tamponad Bulguları: Hipotansiyon, Juguler Venöz Dolgunluk, Pulsus Paradoksus (>10 mmHg sistolik düşüş).

Beck Triadı: Hipotansiyon + JVD + Boğuk kalp sesleri. (Klasik ama geç ve nadir görülen bir bulgudur).
TANI VE DEĞERLENDİRME
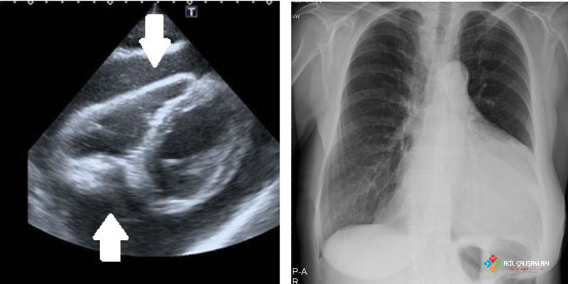
1. Ekokardiyografi (POCUS) – ALTIN STANDART
Acil serviste tanı koydurucudur. Perikard yaprakları arasında anekoik (siyah) sıvı alanı görülür.
Tamponad Bulguları (EKO):
- Sağ Atriyum Sistolik Kollapsı (Erken bulgu, çok hassas).
- Sağ Ventrikül Diyastolik Kollapsı (Daha özgül).
- Dilate Vena Cava Inferior (Solunumla kollaps yok).
- Swinging Heart (Kalbin sıvı içinde yüzmesi).

2. Elektrokardiyografi (EKG)
- Sinüs taşikardisi (En sık).
- Düşük Voltaj: QRS amplitüdlerinde azalma.
- Elektriksel Alternans: QRS boyunun bir kısa bir uzun olması (Büyük effüzyon/Tamponad için spesifik).
3. Akciğer Grafisi
- Büyük effüzyonlarda kalp gölgesi genişler (Çadır Kalp / Su Matarası görünümü).
- Akut tamponadda kalp boyutu normal olabilir!
4. Bilgisayarlı Tomografi (BT)
Etiyolojiyi (tümör, diseksiyon vb.) araştırmak için kullanılır. Tanı için ilk tercih değildir.

ACİL SERVİS YÖNETİMİ
🟢 Hemodinamik STABİL Hasta
- Monitörizasyon, Oksijen, Damar yolu.
- Etyolojiye yönelik tetkikler (CRP, Troponin, TSH, Üre/Kreatinin vb.).
- Kardiyoloji konsültasyonu ve detaylı EKO.
- Küçük/orta effüzyonlar takip edilebilir veya elektif perikardiyosentez planlanabilir.
🔴 Hemodinamik İNSTABİL Hasta (TAMPONAD)
- IV Sıvı Bolusu: Preload’u artırarak geçici düzelme sağlar (500-1000 cc).
- Vazopressör: Gerekirse başlanır.
- Acil Perikardiyosentez: Hayat kurtarıcıdır. USG eşliğinde subksifoid veya parasternal yaklaşımla yapılır.
⚠️ UYARI: Kardiyak tamponadlı hastada entübasyon, intratorasik basıncı artırıp venöz dönüşü azaltarak ani kardiyak arreste neden olabilir. Zorunlu olmadıkça kaçınılmalı veya çok dikkatli yapılmalıdır.
AYIRICI TANI
- Akut Miyokard Enfarktüsü (Özellikle Sağ Ventrikül MI)
- Pulmoner Emboli
- Tansiyon Pnömotoraks
- Konstriktif Perikardit
- Dilate Kardiyomiyopati
PODCAST
(Podcast linki buraya eklenecek)
SORU
İLGİLİ YAZI
(İlgili yazı linki buraya eklenecek)






















