Bu İçerik Sadece VİP Aboneleri İçindir
RUSH (Rapid Ultrasound in Shock and Hypotension) protokolü, şok hastasında hızlı etiyolojik değerlendirme amacıyla uygulanır ve temel olarak üç ana bileşeni inceler: “Pump, Tank, Pipes”.
-
Pump (Kalp): Miyokard kontraktilitesi, perikardiyal efüzyon
-
Tank (Volüm durumu): Vena cava inferior çapı ve kollapsibilitesi, intraabdominal serbest sıvı
-
Pipes (Damarlar): Abdominal aort çapı (AAA varlığı), DVT değerlendirmesi (femoral ven kompresyonu/augmentasyonu)
RUSH Protokolü

RUSH Protokolü – Tarama Bölgeleri
Kalp
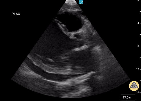
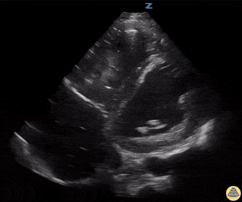
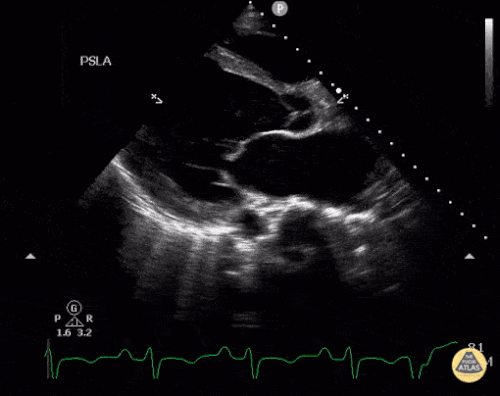
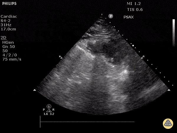
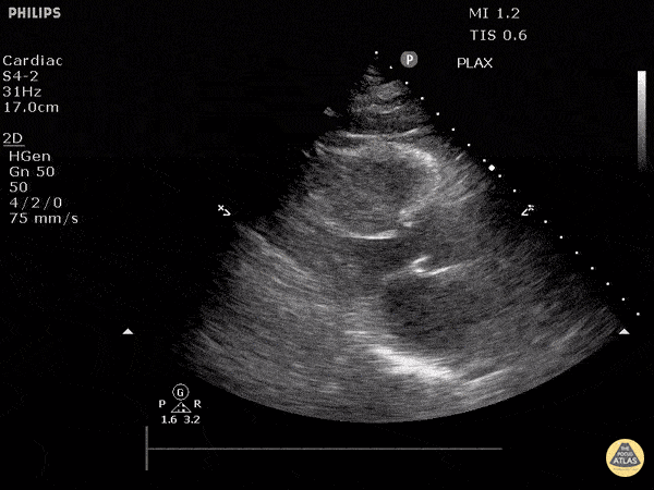
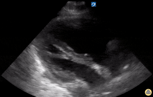
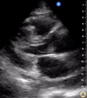
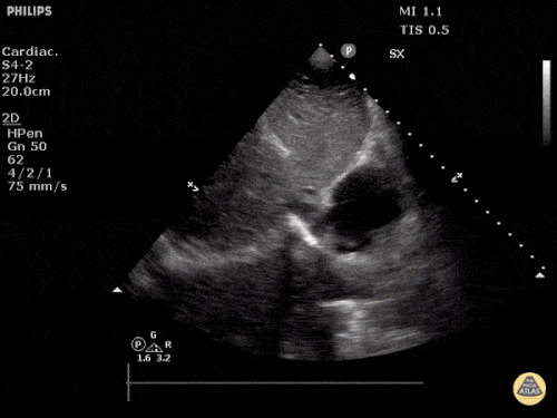
A) PSLA / PSSA (Parasternal uzun aks / Parasternal kısa aks)
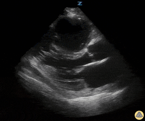
B) Apikal 4 boşluk
VCI (İnferior vena cava)
• IVC / Subkostal pencere
Morrison Alanı
A) Sağ üst kadran
B) Sol üst kadran
C) Suprapubik
Aort
• Aort kaydırma (slide) görünümü
Pulmoner
A) Sağ anterior göğüs
B) Sol anterior göğüs
HI-MAP: Kalp
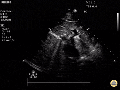
Kalbin değerlendirilmesi dört temel görüntüleme penceresini içerir:
-
Parasternal uzun aks
-
Parasternal kısa aks
-
Apikal dört boşluk
-
Subksifoid / subkostal pencere
Değerlendirilmesi gereken üç ana unsur şunlardır:
-
Sol ventrikül fonksiyonu / kontraktilitesi
-
Sağ ventrikül disfonksiyonu
-
Perikardiyal efüzyon (tamponad bulguları eşlik edebilir)
Sol ventrikül fonksiyonunun değerlendirilmesi
Sol ventrikül (LV) fonksiyonu dört pencerenin tamamında değerlendirilebilir; ancak genellikle parasternal uzun aks görüntüsünde en kolay şekilde incelenir. Değerlendirme iki şekilde yapılabilir:
-
Görsel (subjektif) tahmin
-
EPSS (End Point Septal Separation) ölçümü
Çok sayıda çalışma, acil hekimleri ile kardiyologlar arasında global kardiyak fonksiyonun görsel değerlendirilmesi açısından yeterli uyum olduğunu göstermiştir.
RUSH muayenesinde genellikle ejeksiyon fraksiyonunun tam yüzdesine odaklanmak yerine, sol ventrikül fonksiyonunu geniş kategoriler halinde sınıflandırırız:
-
Hiperkinetik (hiperdinamik)
-
Normal
-
Azalmış (düşük)
Azalmış sol ventrikül fonksiyonunu düşündüren hızlı ve pratik bulgular şunlardır:
-
Sol ventrikül kavite çapının sistolde yaklaşık üçte bir oranında küçülmemesi
-
Miyokardın sistol sırasında yeterince kalınlaşmaması
-
Mitral kapağın ön yaprağının diyastolde septuma yaklaşmaması
Buna karşılık hiperdinamik bir kalpte, sistolün zirvesinde ventrikül duvarlarının neredeyse tamamen kollabe olup birbirine temas ettiği izlenir.
Sağ ventrikül fonksiyonunun değerlendirilmesi
Sağ ventrikül, önceki bölümde anlatılan temel kardiyak pencereler kullanılarak değerlendirilebilir. Normalde sağ ventrikül düşük basınçlı bir odacıktır ve sol ventriküle kıyasla daha küçük görünür.
Sağ ventrikül disfonksiyonunda özellikle şu bulgulara bakılır:
-
Sağ ventrikül dilatasyonu
-
Septal bombeleşme (septal bowing)
Kısa aks görüntüsünde, pulmoner arter basıncının artmasına bağlı olarak sağ ventrikül genişledikçe interventriküler septum sol kalbe doğru bombeleşir. Bu durum sol ventrikülde D-şekilli görünüm (D-sign) oluşturur.
Apikal dört boşluk görüntüsünde sağ ventrikül normalde sol ventrikülün yaklaşık üçte ikisi büyüklüğünde olmalıdır. Eğer iki ventrikül aynı boyutta görünüyorsa bu durum anormal kabul edilir ve dilatasyon düşündürür.
Bir diğer önemli bulgu McConnell belirtisidir. Bu bulgu, sağ ventrikül serbest duvarında hipokinezi bulunurken apeksin korunmuş olması şeklinde tanımlanır.
Önemli bir hata, sağ ventrikül disfonksiyon bulgularını otomatik olarak akut bir sürece (örneğin pulmoner emboli) bağlamaktır. Yukarıda belirtilen bulgular hem akut hem de kronik durumlarda görülebilir. Bu nedenle klinik bağlam ve hasta öyküsü önemlidir. Önceden yapılmış bir ekokardiyografi raporu, yatak başı değerlendirme ile karşılaştırma yapmak açısından çok yardımcı olabilir.
Apikal dört boşluk görüntüsü alınırken dikkatli olunmalıdır. Eğer görüntü aks dışı alınırsa sağ ventrikül kısalmış (foreshortened) görünebilir ve dilatasyon gözden kaçabilir. Bu hatadan kaçınmak için probu hafifçe döndürerek sağ kalbin en geniş göründüğü düzlemi yakalamak gerekir.
Sağ kalp fonksiyonunu değerlendirmek için sağ atriyum genişliği ve TAPSE gibi başka yöntemler de vardır; ancak bunlar bu anlatımın kapsamı dışındadır.









































