Acil serviste nedeni henüz netleşmemiş şok ya da kritik hastalık tablosundaki hastada ultrason artık lüks değil, temel bir değerlendirme aracıdır. POCUS (yatak başı ultrason), hastanın fizyolojisini gerçek zamanlı görmemizi sağlar; yaşamı tehdit eden durumları saniyeler içinde saptamamıza ve resüsitasyonu hedefe yönelik yönetmemize yardımcı olur.
Klinik muayene, monitörizasyon ve laboratuvar sonuçlarını beklerken;
-
Kalbin kontraktilitesi nasıl?
-
Volüm durumu ne?
-
Perikardiyal efüzyon var mı?
-
Abdominal aort geniş mi?
-
Pnömotoraks söz konusu olabilir mi?
Bu soruların çoğuna dakikalar içinde yanıt verebiliriz.
Literatürde, ultrasonun geleneksel değerlendirmeye kıyasla şok tipini belirlemede ve ayırıcı tanıyı daraltmada anlamlı katkı sağladığını gösteren çok sayıda çalışma bulunmaktadır. Bu nedenle kritik hastaya yaklaşımda yapılandırılmış ultrason protokolleri geliştirilmiştir.
En bilinen protokoller şunlardır:
-
ACES: Şokta abdominal ve kardiyotorasik değerlendirme
-
GUCCI: Kritik hastada global ultrason kontrolü
-
RUSH: Şok ve hipotansiyonda hızlı ultrason değerlendirmesi
Bu yazı serisinde özellikle acil servis pratiğinde en yaygın kullanılan ve pratikte en uygulanabilir olan RUSH protokolünü ayrıntılı olarak ele alacağız. RUSH, kullanıcıyı sistematik şekilde yönlendiren HI-MAP mnemonik yapısını kullanır ve şokun nedenini “pump, tank, pipes” yaklaşımıyla analiz eder.
HI-MAP Mnemonik Açılımı (RUSH Protokolü)
HI-MAP, RUSH (Rapid Ultrasound in Shock and Hypotension) protokolünde kullanılan ve şok hastasını sistematik değerlendirmeyi sağlayan bir kısaltmadır:
-
H – Heart (Kalp)
Sol ventrikül fonksiyonu, sağ ventrikül dilatasyonu/strain, perikardiyal efüzyon ve tamponad değerlendirilir.
-
I – IVC (İnferior Vena Cava)
VCI çapı ve solunuma bağlı kollapsı ile sağ atriyum basıncı ve preload hakkında bilgi edinilir.
-
M – Morison’s Pouch (FAST)
İntraperitoneal serbest sıvı (kanama) araştırılır.
-
A – Aorta (Aort)
Abdominal aort anevrizması ve olası rüptür değerlendirilir.
-
P – Pneumothorax / Pulmonary (Pnömotoraks / Akciğer)
Lung sliding, B-line ve lung point ile pnömotoraks araştırılır.
Bu yapı, şok etiyolojisini “pump, tank, pipes” yaklaşımıyla sistematik ve hızlı biçimde analiz etmeyi sağlar.
Bu başlık altında, kritik hastada USG’nin nasıl sistematik kullanılacağını, hangi pencerelerin öncelikli olduğunu ve resüsitasyon kararlarını nasıl değiştirdiğini adım adım inceleyeceğiz.
RUSH Protokolü

RUSH Protokolü – Tarama Bölgeleri
Kalp
A) PSLA / PSSA (Parasternal uzun aks / Parasternal kısa aks)
B) Apikal 4 boşluk
VCI (İnferior vena cava)
• IVC / Subkostal pencere
Morrison Alanı
A) Sağ üst kadran
B) Sol üst kadran
C) Suprapubik
Aort
• Aort kaydırma (slide) görünümü
Pulmoner
A) Sağ anterior göğüs
B) Sol anterior göğüs
HI-MAP: Kalp
Kalbin değerlendirilmesi dört temel görüntüleme penceresini içerir:
Değerlendirilmesi gereken üç ana unsur şunlardır:
-
Sol ventrikül fonksiyonu / kontraktilitesi
-
Sağ ventrikül disfonksiyonu
-
Perikardiyal efüzyon (tamponad bulguları eşlik edebilir)
Kalp: Normal Görüntüler
Normal Parasternal Uzun Aks (PLAX)

Normal Parasternal Kısa Aks

Normal Parasternal Uzun Aks

Sol ventrikül fonksiyonunun değerlendirilmesi
Sol ventrikül (LV) fonksiyonu dört pencerenin tamamında değerlendirilebilir; ancak genellikle parasternal uzun aks görüntüsünde en kolay şekilde incelenir. Değerlendirme iki şekilde yapılabilir:
Çok sayıda çalışma, acil hekimleri ile kardiyologlar arasında global kardiyak fonksiyonun görsel değerlendirilmesi açısından yeterli uyum olduğunu göstermiştir.
RUSH muayenesinde genellikle ejeksiyon fraksiyonunun tam yüzdesine odaklanmak yerine, sol ventrikül fonksiyonunu geniş kategoriler halinde sınıflandırırız:
Azalmış sol ventrikül fonksiyonunu düşündüren hızlı ve pratik bulgular şunlardır:
-
Sol ventrikül kavite çapının sistolde yaklaşık üçte bir oranında küçülmemesi
-
Miyokardın sistol sırasında yeterince kalınlaşmaması
-
Mitral kapağın ön yaprağının diyastolde septuma yaklaşmaması
Buna karşılık hiperdinamik bir kalpte, sistolün zirvesinde ventrikül duvarlarının neredeyse tamamen kollabe olup birbirine temas ettiği izlenir.
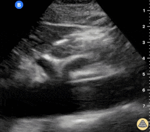
Kalp: Düşük Ejeksiyon Fraksiyonu (EF) Örnekleri
Yeni Başlangıçlı Kardiyomiyopati

Biventriküler Yetmezlik

COVID Sonrası Miyokardit

Postpartum Kardiyomiyopati

Kalp: Hiperdinamik Fonksiyon Örnekleri
Hiperdinamik Sol Ventrikül (Kısa Aks)

Hiperdinamik Durum

Hiperdinamik Durum (Uzun Aks)

Sağ ventrikül fonksiyonunun değerlendirilmesi
Sağ ventrikül, önceki bölümde anlatılan temel kardiyak pencereler kullanılarak değerlendirilebilir. Normalde sağ ventrikül düşük basınçlı bir odacıktır ve sol ventriküle kıyasla daha küçük görünür.
Sağ ventrikül disfonksiyonunda özellikle şu bulgulara bakılır:
Kısa aks görüntüsünde, pulmoner arter basıncının artmasına bağlı olarak sağ ventrikül genişledikçe interventriküler septum sol kalbe doğru bombeleşir. Bu durum sol ventrikülde D-şekilli görünüm (D-sign) oluşturur.
Apikal dört boşluk görüntüsünde sağ ventrikül normalde sol ventrikülün yaklaşık üçte ikisi büyüklüğünde olmalıdır. Eğer iki ventrikül aynı boyutta görünüyorsa bu durum anormal kabul edilir ve dilatasyon düşündürür.
Bir diğer önemli bulgu McConnell belirtisidir. Bu bulgu, sağ ventrikül serbest duvarında hipokinezi bulunurken apeksin korunmuş olması şeklinde tanımlanır.
Önemli bir hata, sağ ventrikül disfonksiyon bulgularını otomatik olarak akut bir sürece (örneğin pulmoner emboli) bağlamaktır. Yukarıda belirtilen bulgular hem akut hem de kronik durumlarda görülebilir. Bu nedenle klinik bağlam ve hasta öyküsü önemlidir. Önceden yapılmış bir ekokardiyografi raporu, yatak başı değerlendirme ile karşılaştırma yapmak açısından çok yardımcı olabilir.
Apikal dört boşluk görüntüsü alınırken dikkatli olunmalıdır. Eğer görüntü aks dışı alınırsa sağ ventrikül kısalmış (foreshortened) görünebilir ve dilatasyon gözden kaçabilir. Bu hatadan kaçınmak için probu hafifçe döndürerek sağ kalbin en geniş göründüğü düzlemi yakalamak gerekir.
Sağ kalp fonksiyonunu değerlendirmek için sağ atriyum genişliği ve TAPSE gibi başka yöntemler de vardır; ancak bunlar bu anlatımın kapsamı dışındadır.
Kalp: Sağ Ventrikül Disfonksiyonu Örnekleri
PSSA’da RV Dilatasyonu ve D-Bulgusu ile Sağ Ventrikül Straini

Sağ Ventrikül Yetmezliği

Sağ Ventrikül Yetmezliği

PSLA Görüntüsünde RV Dilatasyonu ve “Geçiş Halindeki Pıhtı” (Clot in Transit)

Tamponad
Sirkumferansiyel (kalbin etrafını tamamen saran) bir perikardiyal efüzyon varlığı tamponad olasılığını düşündürür; ancak tanıyı doğrulayan bulgu sağ ventrikülün diyastol sonu kollapsıdır.
Unutulmamalıdır ki, tek başına perikardiyal efüzyon varlığı tamponad anlamına gelmez. Değerlendirmede özellikle şu bulgulara dikkat edilmelidir:
Tamponad şüphesinde tanıyı destekleyen bir diğer bulgu pletorik (dilate ve kollabe olmayan) VCI’dır. Yüksek perikardiyal basınç nedeniyle sağ atriyuma venöz dönüş azalır ve VCI geniş, solunumla kollabe olmayan görünüm alır.
Bu nedenle, perikardiyal efüzyon varlığında kollabe VCI görülmesi tamponadı olası kılmaz. Ancak hasta eş zamanlı ciddi hipovolemik ise bu durum farklılık gösterebilir.
VCI: Kardiyak Tamponad Örnekleri
Tamponad ile Birlikte Sirkumferansiyel Perikardiyal Efüzyon

Kardiyak Tamponad

Tamponad ile Birlikte Sirkumferansiyel Perikardiyal Efüzyon

Tamponad ile Birlikte Sirkumferansiyel Perikardiyal Efüzyon

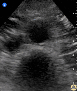
HI-MAP: VCI (İnferior Vena Cava)
İnferior vena cava (VCI) görüntüleri kardiyak pencereleri tamamlar ve her yatak başı ekokardiyografik değerlendirmenin rutin bir parçası olmalıdır. VCI çapı ve solunuma bağlı değişimleri, sağ atriyum basıncını ve sağ ventrikül preload’unu tahmin etmek için kullanılır.
VCI değerlendirmesi pratik olarak üç kategoriye ayrılabilir:
Normal
Maksimum çapı yaklaşık 1.5–2 cm arasında olan ve solunumla kollabe olan VCI genellikle normal kabul edilir; bazı durumlarda ise belirsiz olabilir.
Bu durumda kardiyojenik veya obstrüktif şok olasılığı biraz daha düşük olabilir; ancak tamamen dışlanamaz. Aynı şekilde hipovolemik ya da dağılımsal şok da mevcut olabilir ve tek bir ultrason görüntüsüyle, klinik bağlam olmadan kesin olarak dışlanamaz.
VCI: İnferior Vena Kava Örnekleri
İnferior Vena Cavanın Sağ Atriyuma Boşalması

Normal İnferior Vena Cava

Pletorik
Pletorik (dilate) bir VCI genellikle maksimum çapı 2 cm’den büyük olan ve solunumla minimal ya da hiç kollabe olmayan VCI’dır.
Pletorik VCI şu durumları düşündürebilir:
-
Sağ veya sol ventrikül yetmezliği
-
Obstrüktif bir süreç (kardiyak tamponad, masif pulmoner emboli, tansiyon pnömotoraks)
-
Volüm yüklenmesi
Bu nedenle VCI’nin geniş ve kollabe olmayan görünümü, artmış sağ atriyum basıncına işaret edebilir ve klinik bağlamla birlikte değerlendirilmelidir.
VCI: İnferior Vena Kava Örnekleri (Devamı)
Kardiyak Tamponadda VCI’nin Görünümü

Biventriküler Yetmezlikte Pletorik VCI

Kollabe
Kollabe bir VCI genellikle maksimum çapı 1.5 cm’den küçük olan ve solunumla tamamen ya da tama yakın kollabe olan VCI’dır.
Hipotansiyon bağlamında bu durum genellikle preload veya volüm eksikliği olarak yorumlanır ve daha çok hipovolemik ya da dağılımsal şok ile uyumludur.
Tuzaklar (Pitfalls)
-
VCI ile aortu karıştırmayın.
Bu iki yapı birbirine çok yakındır. En güvenilir yöntem, VCI’nin sağ atriyuma boşaldığını izlemektir. Ayrıca hepatik venlerin VCI’ye dökülmesi de ayırıcı tanıda yardımcı olur.
-
Diyafragma seviyesine çok yakın ölçüm yapmayın.
Diyafragma VCI’yi açık tutabilir ve yanlış geniş ölçüm yapılmasına neden olabilir. VCI değerlendirmesi sağ atriyumdan yaklaşık 2 cm distalden yapılmalıdır.
-
Aks dışı görüntüden kaçının.
Eğer prob VCI ekseninden saparsa damar yapay olarak dar görünebilir. Ölçüm en geniş noktadan yapılmalıdır. Bu hata, VCI’nin transvers planda değerlendirilmesiyle de azaltılabilir.
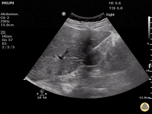
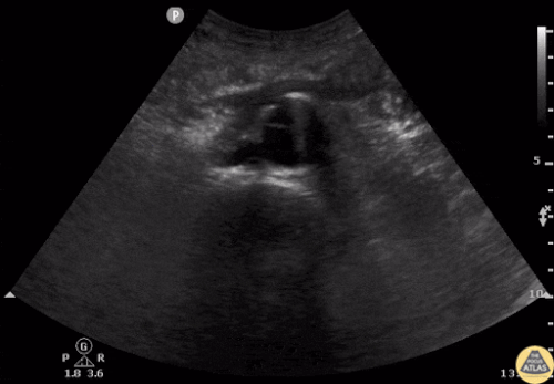
HI-MAP: Morrison Alanı (FAST)
FAST incelemesi travma hastalarının değerlendirilmesinde artık rutin hale gelmiştir. Ancak nedeni açıklanamayan şok hastasında kullanıldığında yalnızca travmatik değil, medikal nedenlere bağlı intraperitoneal kanamayı da saptayabilir.
Travma dışındaki olası intraperitoneal kanama nedenleri şunlardır:
Abdominal aort anevrizmalarının küçük bir kısmı anterior yönde peritoneal boşluğa rüptüre olabilir; ancak bu pencereler rüptüre AAA’yı dışlamak için kullanılmamalıdır.
Değerlendirmede amaç hipoekoik veya anekoik sıvı saptamaktır. Hipotansif travma hastasında peritoneal boşlukta görülen hipoekoik sıvı genellikle kan olarak kabul edilir.
FAST incelemesi hakkında daha ayrıntılı bilgi için travma ultrason kaynaklarına başvurulmalıdır.
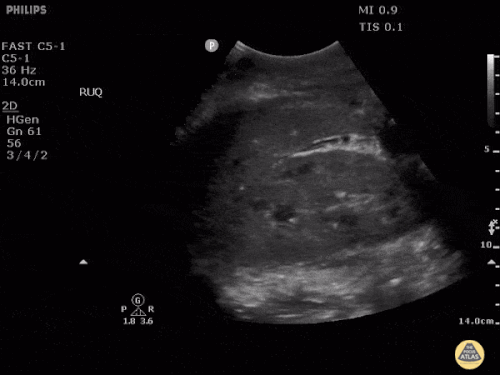
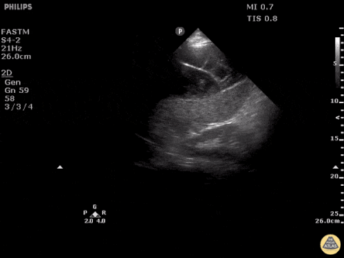
FAST: Morrison Alanı ve Normal FAST Görüntüleri
Normal FAST – Sağ Üst Kadran (RUQ)

Normal FAST – Sol Üst Kadran (LUQ)

Normal FAST – Pelvis – Transvers

Normal FAST – Pelvis – Sagittal

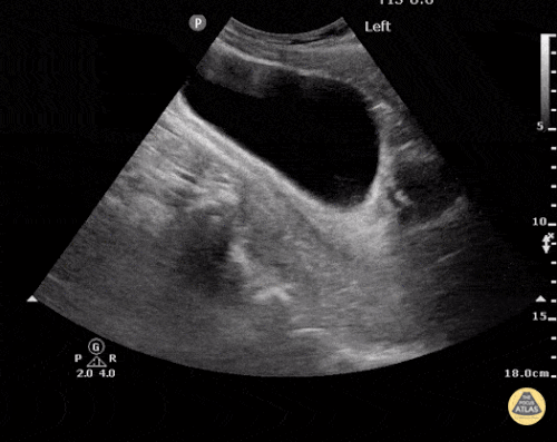
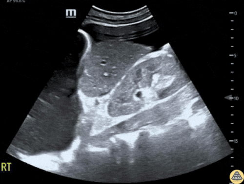
FAST: Anormal (Pozitif) FAST İncelemeleri
EFAST İncelemesinde Plevral ve Peritoneal Sıvı

Hemoperitoneum mu Değil mi?

Subkapsüler Splenik Hematom

Hemoperitoneum

HI-MAP: Aort
Nedeni açıklanamayan şok hastasında, özellikle eşlik eden karın veya sırt ağrısı varsa aort patolojileri mutlaka düşünülmelidir. Bu değerlendirme genellikle büyük bir abdominal aort anevrizmasının (AAA) dışlanmasını amaçlar.
Normal aort çapı 3 cm’den küçüktür. Herhangi bir seviyede çapın 5 cm’den büyük olması, uygun klinik bağlamda akut rüptür olasılığını akla getirmelidir.
Aort en az 4 seviyede görüntülenmelidir ve özellikle infrarenal segment dikkatle değerlendirilmelidir; çünkü AAA en sık bu bölgede görülür. İdeal olarak aortun tamamı kesintisiz şekilde taranmalıdır; ancak bu her zaman mümkün olmayabilir.
Ölçüm:
-
Transvers planda yapılmalıdır
-
En iyi konveks (curvilinear) prob ile değerlendirilir
-
Ölçüm dış duvardan dış duvara (outer wall to outer wall) yapılmalıdır
Dış duvardan dış duvara ölçüm yapılmasının nedeni, anevrizma ve diseksiyonun damar duvarı içinde yer alabilmesidir. Bu nedenle ölçüm her iki duvarı da içermelidir.
Hem transvers hem de longitudinal planda görüntüleme önemlidir; çünkü küçük sakküler anevrizmalar tek planda taranırsa gözden kaçabilir.
Önemli bir nokta: Rüptüre AAA vakalarının çoğunda intraperitoneal serbest sıvı görülmez. Abdominal aort anevrizmaları genellikle retroperitoneal alana rüptüre olur ve bu alandaki kanama ultrasonla kolayca değerlendirilemez.
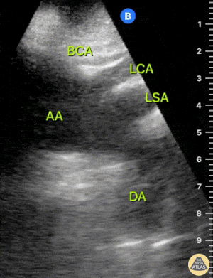
Ekokardiyografi (EKO): Normal Aort Örnekleri
Normal Aort Arkı – Suprasternal Görünüm

Normal Çölyak Trunkus ve SMA – Longitudinal

Normal Aort ve İliak Arterler – Transvers

Ekokardiyografi (EKO): Anormal Patolojik Aort Örnekleri
Diseksiyon Flebi ile Sakküler Abdominal Aort Anevrizması

Abdominal Aort Anevrizmasının Sagittal Görünümü

Öksürük ile Başvuran Abdominal Aort Anevrizması

İntramural Trombüs İçeren Abdominal Aort Anevrizması

POCUS, aort diseksiyonu için standart görüntüleme yöntemi değildir. Ancak ultrason ile diseksiyon flepleri görülebilir ve saptandığında mutlaka not edilmelidir. Bununla birlikte, normal bir ultrason bulgusunun aort diseksiyonunu dışlamadığı unutulmamalıdır.
Tuzaklar (Pitfalls)
-
İntraaortik trombüs ayırt edilmesi zor olabilir ve normal çapta bir aort gibi görünebilir. Bu durum aort değerlendirmesinde yanlış negatif sonuca yol açabilir.
-
Longitudinal planda yapılan ölçümler eksen dışı olabilir ve yanlış düşük ölçüm alınmasına neden olabilir. Maksimum çapın değerlendirildiğinden emin olmak için ölçüm transvers planda yapılmalıdır.
-
Barsak gazı görüntü kalitesini bozabilir. Hastayı kalça ve dizler fleksiyonda pozisyonlayın ve zaman içinde karına sabit bası uygulayarak gazın görüntü alanından uzaklaşmasını sağlayın.
-
Aort ile VCI’yi karıştırmayın. Her iki damar da pulsatile görünebilir. Çölyak trunkus, SMA gibi dalları tanımlayarak gerçekten abdominal aortu görüntülediğinizden emin olun.
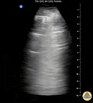
HI-MAP: Pnömotoraks / Pulmoner
Kritik hastada akciğer ultrasonunda en önemli değerlendirme başlığı pnömotoraks varlığıdır. Hasta çoğunlukla supin pozisyonda olduğundan, hava en az bağımlı (en üstte kalan) bölgede birikir. Bu nedenle görüntüleme genellikle:
yapılır.
Yüksek frekanslı prob kullanılmalı ve sagittal planda değerlendirme yapılmalıdır. Her iki hemitoraks mutlaka karşılaştırmalı olarak incelenmelidir.
Değerlendirmede temel bulgular:
Bu bulgulardan herhangi birinin varlığı, pariyetal ve viseral plevranın temas halinde olduğunu gösterir; yani pnömotoraks yoktur.
Lung sliding, kaburgaların hemen derininde görülen hiperekojen plevral hat boyunca oluşan “ışıltılı / titreşimli” hareket şeklinde izlenir. Kaburgalar plevral hattı tanımlamak için referans olarak kullanılmalıdır.
Klinik yorum
-
Her iki tarafta lung sliding görülmesi → Tansiyon pnömotoraksı dışlar
-
Lung sliding olmaması → Pnömotoraksı güçlü şekilde düşündürür
-
Lung point (plevral yaprakların hava ile ayrıldığı tam geçiş noktası) görülmesi → Pnömotoraks için tanısaldır
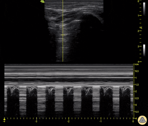
M-mode kullanımı
Pnömotoraks değerlendirmesinde M-mode da kullanılabilir.
Aynı pencerede M-mode kaydı alınır:
-
Lung sliding varsa (pnömotoraks yoksa)
Plevral hat seviyesinde belirgin bir ayrım görülür ve bu görünüm “seashore sign” (kumsal belirtisi) olarak adlandırılır.
-
Lung sliding yoksa (pnömotoraks şüphesi)
Üstten alta kadar paralel çizgiler görülür ve bu görünüm “barcode sign” (barkod belirtisi) olarak adlandırılır.
Pulmoner USG Örnekleri
Lung Point Bulgusu

İyatrojenik Pnömotoraksta Lung Point

Lung Point

Lung Sliding Yok

± DVT (Derin Ven Trombozu)
Kalp ve VCI değerlendirmesi sırasında masif pulmoner emboli düşündüren bulgular varsa (RV strain/dilatasyon + pletorik VCI + akciğerlerin temiz görünmesi), bilateral alt ekstremitelerde DVT değerlendirmesi yapılmalıdır.
POCUS ile DVT değerlendirmesinin, yüksek duyarlılık ve özgüllük ile hızlı ve doğru şekilde yapılabildiğini gösteren güçlü kanıtlar vardır.
Femoral ven değerlendirmesi
-
İncelemeye inguinal ligamentin hemen distalinden başlanır.
-
Ven genellikle arterin medialinde yer alır.
-
Kompresyon uygulanır; arter hafifçe komprese olana kadar bası sürdürülür.
-
Eğer ven tamamen kollabe olmuyorsa, inceleme pozitif kabul edilir.
Femoral ven değerlendirilirken, görüntüleme mutlaka:
-
Greater safen ven ile common femoral ven birleşim noktasının distalini içermelidir.
-
Femoral vene 5 cm içinde yer alan proksimal safen ven trombüsleri de DVT olarak kabul edilir, bu nedenle safenofemoral bileşke mutlaka görüntülenmelidir.
-
Ayrıca deep femoral venin common femoral venden ayrıldığı dallanma noktası da değerlendirilmelidir.
Popliteal ven değerlendirmesi
Popliteal damarlar benzer şekilde değerlendirilir:
-
Popliteal ven, popliteal arterin yüzeyelinde yer alır.
-
Kompresyon uygulanır.
-
Anterior ve posterior tibial venler ile fibular (peroneal) ven dallanma noktaları mutlaka kontrol edilmelidir.
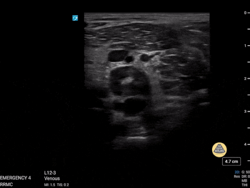
Patolojik DVT USG:
| Sol popliteal vende oklüziv DVT

|
Popliteal DVT

|
| DVT (Derin ven trombozu)

|
Büyük safen ven trombozu

|
Özet
-
Ultrason, şok veya kritik hastalık bulguları ile başvuran hastaların değerlendirilmesinde hemen her klinik senaryoda oldukça faydalıdır.
-
Ultrason, ayırıcı tanıyı hızla daraltmaya yardımcı olur.
-
Gerekli görüntülerin çoğu zaten diğer ultrason incelemelerinde kullanılan temel pencerelerdir ve öğrenilmesi kolaydır.
-
Her zaman tüm pencereleri almak zorunda değilsiniz; incelemeyi klinik bağlama göre uyarlayın.
-
Hastanın klinik öyküsünü mutlaka dikkate alın ve ultrason bulgularını bu bağlam içinde yorumlayın.
Kaynaklar
-
Sasmaz MI, Gungor F, Guven R, Akyol KC, Kozaci N, Kesapli M. Effect of Focused Bedside Ultrasonography in Hypotensive Patients on the Clinical Decision of Emergency Physicians Emergency Medicine International. 2017; 2017:1-8.
- https://emcrit.org/rush-exam/original-rush-article/
- https://www.acilcalisanlari.com/pnomotoraksa-yonelik-akciger-ultrasonu-pocus.html
- https://www.acilcalisanlari.com/akciger-ultrasonografisi-pocus.html
- https://www.acilcalisanlari.com/fast-e-fast-protokolu.html
İigili Yazı
Kalp Yetmezliğine Genel Yaklaşım