Vicryl (PGA) Sütür
YAPISAL ÖZELLİKLER
GENEL
Emilen, monoflaman veya multiflaman (örgülü), sentetik, boyanmış mor ya da boyanmamış krem rengi
KİMYASAL YAPI
Poliglaktin (poliglikolik asit)(PGA)
DOKU DESTEK SÜRESİ
2-3 hafta sürer, 55-70 günde hidrolize...
Covid-19 Temaslı Sağlık Çalışanı Algoritması
Hastane dışındaki gündelik yaşantıları sırasında COVID-19 hastası ile “yakın temaslı”
kriterine uyan teması bulunan (örneğin aynı evde yaşayan COVID-19 hastası olması)
sağlık çalışanları yüksek riskli temaslı...
Sağlık Çalışanının COVID-19 Hastası ile Temas Durumunun Değerlendirmesi Akıl Kartı
https://www.acilcalisanlari.com/covid-19-temasli-takibi-evde-hasta-izlemi-filyasyon-yonetimi-3-09-2020.html
Covid-19 Temaslı Takibi – Evde Hasta İzlemi – Filyasyon Yönetimi 3.09.2020
Sağlık Bakanlığı Bilim Kurulu tarafından 3 Eylül 2020 tarihinde COVID-19 ile ilgili TEMASLI TAKİBİ, SALGIN YÖNETİMİ, EVDE HASTA İZLEMİ VE FİLYASYON rehberi ile yeni...
Ulnar Styloid Kırığı Akıl Kartı
Ulnar Styloid Kırığı izole olabilir veya radius distal uç kırığı gibi diğer yaralanmalara eşlik edebilir. Her tür kırıkta olduğu gibi ulnar stiloid kırığının ana...
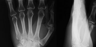
Radial Styloid Kırığı Akıl Kartı
Elin radial kenarına uygulanan direk travmalar sonucunda radial styloid kısımda transver veya oblik şeklinde oluşan eklem içi kırık tipidir. AP grafide Radius styloidinin altında...
Rolando Kırığı Akıl Kartı
Rolando kırığı, başparmak metakarp kaidesinin eklem içi çok parçalı kırığıdır; “T” veya “Y” şeklinde olan tipleri ile karşımıza çıkar. Ayrılmamış kırıklarda alçı tespit için...
Bennett Kırığı Akıl Kartı
Bennett kırığı olarak bilinen patoloji aslında başparmak kaidesinin kırıklı-subluksasyonunu tanımlar. Redükte edilebilirse başparmağı içine alan kısa kol alçısı ile tespit edilebilir. Tespiti sağlanamayan kırıklarda...
Barton Kırığı
Radius alt uçunun intra-artiküler kırığı ile beraber dislokasyonudur. 1838’de Amerikalı cerrah ve ortopedist John Rhea Barton tarafından tanımlananmıştır. Çoğu vakada cerrahi redüksiyon gerektiği için...
Smith Kırığı
İlk olarak İrlanlandalı doktor olan Robert William Smith tarafından 1847 yılında tanımlanmıştır. Smith kırığı, distal radiusun volar (avuç içi) yöne açılanan kırığıdır. Muayenede el...
Colles Kırığı
Distal radius kırıkları genellikle el açık vaziyette yere düşme sonucu radius dorsale açılanması ile oluşur. Metafiz bölümünde oluşan basit tarzdaki kırıklardan, eklem içine ulaşan...
Ekstremite Travmalı Hastaya Genel Yaklaşım
Travma olgularında acil servislerde en sık karşılaştığımız hasta gruplarından biri extremite travmalarıdır. Genel yaklaşım olarak acil servise gelen tüm travmalı hastalara standart olarak hasta...
COVID-19 Olgularında Ayaktan Tedavi
Günümüzde COVID-19 için güvenilirliği ve etkinliği kanıtlanmış spesifik bir tedavi bulunmamaktadır. Bu hastalığa etkili bir tedavi bulabilmek amacıyla şu anda çok sayıda ilaçla 100’den...
Chromic Catgut Sütür
YAPISAL ÖZELLİKLER
GENEL
Emilebilir, fibroz doku, kahverengi
Emilebilir, fibroz doku, krem
KİMYASAL YAPI
Saflaştırılmış sığır-koyun ince bağırsağı kollejeni
DOKU DESTEK SÜRESİ
10-14 Gün
USP – EP ARALIĞI
6/0 – 4 (metrik: 1-8)
MUKAVEMET DEĞERLERİ
Güçlü
Chromic...































