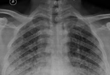
Eğer bir intratorasik opasite herhangi bir yapı ile anatomik kontakt halinde ise onun sınırlarını siler. Akciğer grafisinde bu lokalize opasitenin; kalbin mediastenin veya diafragmanın kenarlarını kısmen silmesi veya tamamen maskelemesine silüet bulgusu denir. Grafide sağ akciğerde orta zonda oluşan pnomoniye bağlı konsolidasyon sağ kalp gölsenini belirsiz hale getirmiş ve silüet bulgusu ortaya çıkmıştır.





















