Metamfetamin (MET) Zehirlenmeleri
Metamfetamin, sokakta "met" olarak bilinen, amfetaminin bir türevidir ve yüksek derecede bağımlılık yapıcı ve merkezi sinir sisteminin (MSS) güçlü uyarıcılarından (psikostimulanlar) biridir. Toz, kristal...
Akut Koroner Sendrom Yönetimi Kılavuzu 2023 Giriş ve Tanımlar
Akut Koroner Sendrom ESC 2023 kılavuzunda nelerin değiştiğine daha önce değinmiştik. İlgili yazımıza buradan ulaşabilirsiniz.
Kılavuzun geneli ile ilgili birebir çeviri olmasa da kılavuz eşliğinde...
Su Çiçeği (Varisella Zoster) Reçetesi
drSuçiçeği veya varisella, varisella-zoster virüsünün neden olduğu bulaşıcı bir hastalıktır. Bu virüs, suçiçeğinden (genellikle bağışık olmayan konaklarda birincil enfeksiyon olarak) ve latent enfeksiyonun yeniden...
Volvulus Acil Yaklaşım
Volvulus, bir bağırsak halkasının kendi etrafında ve onu destekleyen mezenterin etrafında dönerek bağırsak tıkanıklığına neden olmasıyla ortaya çıkar. Klinik görünüm mekanik intestinal tıkanıklık tablosu...
Epidural Kanama Akıl Kartı
Genelde kafa travmalarını takiben, özellikle genç erişkinlerde ve çocuklarda görülen, beynin kalın zarı (dura) ile kemik arasında olan kanamalardır. Travma sonrası dura ile beyin...
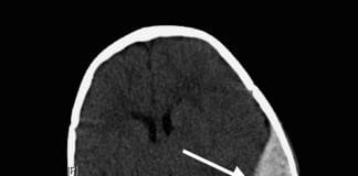
Subdural Kanama Akıl Kartı
Subdural hematomlar, dura ve araknoid membranlar arasında subdural aralıkta, köprü venlerinin yırtılması sonucu gelişen ve radyolojik olarak konkav (yarım ay) şeklindeki kanamalardır. Bazen %20-30...
Kafa Travmasına Hastasına Genel Yaklaşım
Kafa travması, gelişmiş ülkelerde, 45 yaş üstü popülasyonda mortalite ve morbiditenin en önemli nedenlerinden birisidir. Trafik kazalarına bağlı ölümlerin %75’inde ve tüm multitravmalı hastaların...
Suda Boğulma ERC 2021 Akıl Kartı
Avrupa Resüsitasyon Konseyi (European Resuscitation Council, ERC) tarafından 2021 yılında yayınlan son kılavuzda 2015 yılında yayınlanan kılavuza göre suda boğulmalara yaklaşım bölümünde göze çarpan...
Geniş Kompleks Taşikardiler
Geniş kompleks taşikardiler, kalp atışlarının dakikada 100'den fazla olması, QRS komplekslerinin genişlemesi (normalde 0.12 saniyeden daha uzun süren QRS kompleksleri) ve ritmin düzenli veya...
Bishop Skoru
Bishop Skoru, doğum indüksiyonu veya spontan doğum olasılığını değerlendirmek için kullanılan bir skordur. Serviksin doğuma ne kadar hazır olduğunu belirlemek için kullanılır ve doğum...
Akut Menenjit Hastasına Acil Servis Yaklaşımı
Menenjit, hayatı tehdit eden önemli infeksiyon hastalıklarından birisidir. Menenjit ilk tanımlandığı 1805 yılından bu yana, özellikle gelişmekte olan ülkelerde, yeni doğan ve yaşlılarda hayatı...
Ürolojik Aciller
Ürolojik aciller, hızlı tanı ve müdahale gerektiren, aksi takdirde ciddi komplikasyonlara yol açabilecek hastalık ve durumları kapsar. Ani gelişen şiddetli ağrı, idrar yapamama, kanlı...
Mekanik Ventilasyon
Mekanik ventilasyon, oksijenlenmesi yeterli olmayan hastalarda, hastanın kendi solunum fonksiyonları ile yeterli oksijenlenme sağlanana kadar, bu fonksiyonun cihaz aracılığı
ile dışarıdan sağlanmasıdır. Günümüzde mekanik ventilasyon...
Göğüs Ağrısı Akıl Kartı
Acil serviste ölümcül olabilen akut koroner arter sendromun en yaygın semptomu göğüs ağrısı olmasına karşın bu semptom çok farklı nedenlere bağlı olarak ta özellikle...






























