Testis Torsiyonu
Testis torsiyonu, spermatik kordun kendi etrafında dönmesi sonucu testisin kanlanmasının bozulması ve iskemiye gitmesi ile sonuçlanan acil bir durumdur. Özellikle 20 yaş altı bireylerde...
Vajinit Acil Yaklaşım
Vajinit, oldukça geniş bir tanım olup mikrobiyal, alerjik, hormonal dengesizliklere bağlı ve yabancı cisim kaynaklı olmak üzere farklı gruplara ayrılabilir. Bu durum kaşıntı, yanma,...
Bartholin Kisti – Apsesi
Bartholin kisti, kadın dış genital bölgesinde yer alan Bartholin bezlerinin tıkanması sonucu oluşan, genellikle ağrısız ve yavaş büyüyen bir kistik yapıdır. Bu kistler, çoğu...
Dirsek Eklemi Çıkıkları
Dirsek eklemi, vücudun büyük ve işlevsel açıdan kritik eklemlerinden biridir. Hem erişkinlerde hem de çocuklarda sık karşılaşılan bir travma tipi olan dirsek çıkıkları, acil...
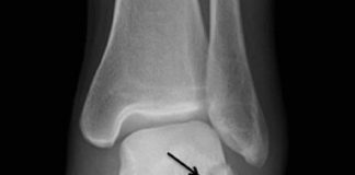
Talus Kırıkları
Talus, benzersiz anatomik özelliklere sahip olup, ayak bileği ile ayağın hareketliliğinde kritik bir rol oynayan, bacak ve ayak arasındaki kemik bağlantısını sağlayan ikinci en...
Kalkaneus Kırıkları
Kalkaneus (topuk) kırıkları, ayakta ağırlık taşıyan en büyük kemik olan kalkaneusun travmaya maruz kalması sonucu oluşur. Genellikle yüksekten düşme, trafik kazaları veya doğrudan travmalar...
Akut ST Elevasyonlu Akut Miyokard İnfarktüsü (STEMİ)
Akut ST Elevasyonlu Miyokard İnfarktüsü (STEMİ), koroner arterlerin bir veya daha fazlasının ani tıkanması sonucu gelişen, transmural miyokard iskemisi ve nekrozu ile karakterize, kardiyovasküler...
Akut Koroner Sendrom Acil Yaklaşım
Akut koroner sendrom (AKS), kalp kasına giden kan akışının ani ve ciddi şekilde azalması veya tamamen durmasıyla ortaya çıkan bir grup klinik durumu ifade...
Tam Kan Sayımı (Hemogram)
Tam kan sayımı (TKS veya CBC - Complete Blood Count), kanın temel bileşenlerini inceleyen ve hastalıkların tanısı, tedavi takibi veya genel sağlık durumunun değerlendirilmesinde...
Kan Tüpleri
Kan tüpleri, farklı laboratuvar testleri için kullanılan, belirli özelliklere ve içeriklere sahip steril kaplardır. Her tüpün içeriği ve rengi, yapılacak test türüne göre farklılık...
Anemi Acil Yaklaşım
Anemi, hemoglobin (Hb), hematokrit (HCT) veya eritrosit (RBC) sayısındaki azalma olarak tanımlanır. Altta yatan bir durumun belirtisi olan anemi, makrositik, mikrositik veya normositik olarak...
Oklüzif Miyokard Enfarktüsü (OMİ)
Akut koroner sendrom (AKS), akut miyokard iskemisi ile uyumlu bir dizi klinik semptomu ifade eder. Son 20 yıldır bizlere kılavuzlarla öğretilen ve tanımlanan AKS,...
Stevens Johnson Sendromu ve Toksik Epidermal Nekroliz
Stevens-Johnson sendromu (SJS) ve toksik epidermal nekroliz (TEN), deri ve mukozaları tutan, yaygın bül oluşumu ve erozyonlarla karakterize, ciddi ve potansiyel olarak ölümcül cilt...
Aşil Tendon Rüptürü
Aşil tendonunun yırtılması, alt ekstremitede en sık görülen tendon yırtığıdır. Bu yaralanma genellikle üçüncü ile beşinci dekatlarındaki yetişkinlerde meydana gelir. Akut yırtılmalar, genellikle ani...































