Atrial Fibrilasyon Kılavuzu ESC 2024
Avrupa Kardiyoloji Derneği (ESC) ve Avrupa Kardiyo-Torasik Cerrahi Derneği (EACTS) tarafından 2024 yılında Atrial Fibrilasyon Kılavuzu güncellendi. Bu Kılavuz 2020 yılında ve daha önce...
Fibula Kırığı
Tibia ve fibula Şaft Kırığıkları, en yaygın uzun kemik kırıkları arasında yer alsa da, izole fibula kırıkları nadir görünmektedir ve izole şaft kırıklarının insidansı...
Ayak Bileği Malleol Kırıkları Acil Yaklaşımı
Ayak bileği eklemi, vücudun en fazla ağırlığı taşıyan ve aynı zamanda en fazla yaralanmaya maruz kalan eklemlerden biridir. Özellikle düşük enerjili rotasyonel travmalar, ayak...
Koroziv Madde İçimi Acil Yaklaşım
Koroziv (kostik) maddeler, özellikle ev temizlik ürünleri olarak yaygın kullanılan kimyasallardır ve çocuklarda sıkça kazara, yetişkinlerde ise intihar amacıyla alınmaktadır. Bu maddelerin tüketilmesi, tüm...
Hipokalsemi Acil Yaklaşım
Hipokalsemi tanımında literatürde kesin bir konsensüs olmamakla birlikte, düzeltilmiş serum kalsiyum düzeyinin 8 mg/dL (2 mmol/L) değerinin altında olması olarak tanımlanmaktadır. Bununla birlikte kalsiyumun...
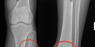
Maisonneuve Kırığı
Ayak bileği kırıklarının özel bir tipi olan Maisonneuve kırığı (MK), distal tibiofibular sindesmozun ve interosseöz membranın yırtılmasıyla ilişkili olarak fibulanın proksimal üçte birinde meydana...
Diüretik İlaçlar
İdrar hacmini ve atılımını artıran ilaçlara diüretik ilaçlar denir. Bu ilaçlar, böbrek tübüllerinde Na+ reabsorpsiyonunu azaltarak etki gösterirler. Böylece, sodyum iyonu atılırken, beraberinde suyu...
Maymun Çiçeği Hastalığı Acil Yaklaşım
Maymun çiçeği hastalığı, Monkeypox virüsünün neden olduğu bulaşıcı bir hastalıktır. Hastalık, çoğunlukla enfekte kemirgenler gibi hayvanlardan insanlara bulaşır. İnsandan insana bulaşma da mümkündür; ancak...
Yeşil Ağaç Kırığı (Greenstick Fracture)
Yeşil (yaş) ağaç kırığı, kemiğin bükücü güçlere maruz kalması sonrası gelişebilen tamamlanmamış bir kırıktır. Kemiğin esnek ve kemik zarının (periost) kalın olması nedeniyle oluşan,...
Akut Aort Diseksiyonu Riskinin Belirlenmesi
ADD-RS (Aortic Dissection Detection Risk Score), akut aort diseksiyonu şüphesi olan hastalarda riskin hızlı bir şekilde değerlendirilmesi ve uygun tanısal adımların atılması için kullanılan...
Atropin Uygulama Akıl Kartı
Atropin, belladonna bitkisinden elde edilen bir antimuskarinik alkaloiddir. Parasempatik sinir sistemini inhibe ederek çeşitli fizyolojik etkiler oluşturur. Özellikle vagal aktiviteyi bloke ederek kalp hızını...
Gastrointestinal Yabancı Cisimler
Acil serviste hem çocuk hem de erişkin hastalarda sıkça karşılaşılan yabancı cisim ve gıda impaksiyonları, çoğunlukla kendiliğinden geçse de bazı durumlarda ciddi komplikasyon riski...
3. Derece Atriyoventriküler (AV) Blok (Tam Kalp Bloğu)
Atriyoventriküler (AV) 3. derece tam blok atriyum ve ventrikül arasındaki elektriksel iletinin tam kesilmesine bağlı olarak gelişen ritm iletim bozukluğudur. Bu blokta hiçbir atriyal...
Ölüm Haberi Verme
Sağlık çalışanları, acil servislerde ve yoğun bakım ünitelerinde sıklıkla hastalık tanısı veya ölüm gibi kötü haberleri iletmek zorunda kalırlar. Bu durum, hem hasta ve...































