AKIL KARTLARI
Daha Fazla
Arrest Geri Döndürülebilir Nedenler 6H 6T (5H5T) Akıl Kartı
Kardiyopulmoner resüsitasyon (KPR) sırasında olası geri döndürülebilir nedenlerin 5H ve 5T olarak hatırlanması önerilmektedir. Yakın zamana kadar bu listeye hipoglisemi ve travma da eklenmiş...
Gebelerde Travma ATLS 2025 Önerileri
ATLS kılavuzu travma yönetiminde dünya çapında standart yaklaşımı belirleyen en önemli kaynaklardan biridir. Uzun yıllar boyunca referans alınan son kapsamlı güncelleme 2018 yılında yayınlanmışken,...
REÇETELER
Daha Fazla
Periferik Fasiyal Paralizi Reçetesi
Periferik fasiyal paralizi, fasiyal sinirin (VII. kraniyal sinir) santral sinir sistemi dışındaki bir seviyede hasarlanması sonucu, yüz kaslarının bir kısmında ya da tamamında gelişen...
İshal Reçetesi (Gastroenterit)
Gastroenterit, mide ve bağırsak kanalının mukozasında gelişen iltihabi süreç sonucu ortaya çıkan, genellikle kusma ve ishal ile seyreden bir klinik tablodur.İshal, dışkı kıvamının yumuşaması,...
OLGU SUNUMLARI
Daha Fazla
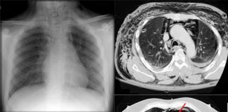
54 Yaş Göğüs Ağrısı Erkek Hasta
Hasta Bilgisi
Yaş / Cinsiyet: 58 yaşında erkekBaşvuru Nedeni: Ani başlayan göğüs ağrısı
Birincil Değerlendirme
Bilinç: Açık, koopere
Solunum: Hafif dispneik, solunum sayısı 22/dk
Dolaşım: Soğuk,...
65 Yaş Yılan Isırma Olgusu
Yılan ısırıkları çoğunlukla insan ile yılanın aniden karşılaşması sonucu ortaya çıkar. Yılan, kendini tehlikede hissedip kaçacak alan bulamadığında savunma içgüdüsüyle saldırabilir. Türkiye’de yılan ısırıkları...
Hayat Kurtaran Bilgilerin Adresi
Acil serviste zamanla yarıştığınızı biliyoruz.
Bu yüzden doğru bilgiye, uzman desteğine ve güvenilir dijital çözümlere
tek noktadan ulaşmanızı sağlıyoruz.
Acil Çalışanları Premium ve VIP Üyelik Paketleri, her nöbette yanınızda olmak için tasarlandı.
Nöbette Hızlı Destek Alın →
Acil Çalışanları Premium ve VIP Üyelik Paketleri, her nöbette yanınızda olmak için tasarlandı.
SORULAR
Soru 000626
ÖncekiSoru 625
SonrakiSoru 627
Soru 000036
ÖncekiSoru 035
SonrakiSoru 037
MAĞAZA
Özefagus Varis Kanaması
Özofagus varis kanaması, portal hipertansiyonun en dramatik ve yaşamı tehdit eden komplikasyonlarından biridir ve sirotik hastalarda üst gastrointestinal kanamanın en önemli nedenleri arasında yer...
Gebelerde Travma ATLS 2025 Önerileri
ATLS kılavuzu travma yönetiminde dünya çapında standart yaklaşımı belirleyen en önemli kaynaklardan biridir. Uzun yıllar boyunca referans alınan son kapsamlı güncelleme 2018 yılında yayınlanmışken,...
2026 AHA/ASA Akut İskemik İnme Geçiren Hastaların Erken Yönetimine İlişkin Kılavuz
2026 yılı itibarıyla American Heart Association ve American Stroke Association tarafından yayımlanan “Akut İskemik İnme Geçiren Hastaların Erken Yönetimi” kılavuzu güncellenmiştir.
Bu kılavuz, bir önceki...
Pediatrik Temel Yaşam Desteği
Kardiyopulmoner resüsitasyon, kalp-akciğer canlandırması, kardiyopulmoner serebral resüsitasyon veya kısa adıyla kardiyopulmoner resüsitasyon (KPR), kalbi duran bir kişide kan dolaşımını ve solunum sistemini tekrar çalışır...
Pediatrik Temel Yaşam Desteği AHA 2025
Resüsitasyon algoritmalarında dünya genelinde en çok referans alınan kuruluşlardan biri olan American Heart Association (AHA), Kardiyopulmoner Resüsitasyon (CPR) ve Acil Kardiyovasküler Bakım (ECC) 2025...
Miyokardit ve Perikardit Yönetimine Yönelik Kılavuz ESC 2025
ESC 2025 kılavuzu, miyokardit ve perikarditi “İnflamatuar Miyoperikardiyal Sendrom (IMPS)” şemsiyesi altında ele almaktadır. Bu terim, tanı netleşene kadar kullanılan bir giriş tanımı olup,...
Pnömomediastinum
Pnömomediasten, mediastinal boşlukta hava bulunması ile karakterize nadir görülen ancak acil servislerde karşılaşılabilen önemli klinik durumlardan biridir. Travma, alveoler rüptür, astım atağı, yoğun öksürük,...
Glokom Acil Yaklaşım
Glokom, optik sinirde ilerleyici hasar ve buna bağlı görme alanı kaybı ile karakterize önemli bir göz hastalığıdır. Çoğu glokom tipi sinsi seyretse de, akut...
ROSC ve Kardiyak Arrest Sonrası Bakım
Kardiyak arrest, acil serviste en kritik ve zamanla yarışılan klinik durumlardan biridir. Resüsitasyonun temel amacı spontan dolaşımın geri dönmesini sağlamak (ROSC – Return of...
Kritik Hastalarınızın USG ile Değerlendirilmesi (POCUS)
Acil serviste nedeni henüz netleşmemiş şok ya da kritik hastalık tablosundaki hastada ultrason artık lüks değil, temel bir değerlendirme aracıdır. POCUS (yatak başı ultrason),...
RUSH Protokolü Kritik Hasta Değerlendirme
RUSH (Rapid Ultrasound in Shock and Hypotension) protokolü, şok hastasında hızlı etiyolojik değerlendirme amacıyla uygulanır ve temel olarak üç ana bileşeni inceler: “Pump, Tank,...
Miksödem Koması
Miksödem koması, hipotiroidizmin en ağır ve en ölümcül klinik tablosu olup, nadir görülmesine rağmen acil tıpta yüksek mortalite riski nedeniyle kritik öneme sahiptir. Tiroid...
Bilinç Değikliği
Değişmiş mental durum (altered mental status), acil serviste ve klinik pratikte sık karşılaşılan önemli bir başvuru nedenidir. Erken bulguların tanınması, altta yatan nedenin hızlı...
Hemorajik İnme (Stroke) Acil Yaklaşım
Hemorajik inme, serebrovasküler olayların yaklaşık %10–15’ini oluşturmasına rağmen en yüksek mortalite oranına sahip inme tipidir. Beyin parankimi içine (intraserebral kanama) veya subaraknoid aralığa (subaraknoid...
























































































