Son Eklenenler
AKIL KARTLARI
Daha Fazla
Arrest Geri Döndürülebilir Nedenler 6H 6T (5H5T) Akıl Kartı
Kardiyopulmoner resüsitasyon (KPR) sırasında olası geri döndürülebilir nedenlerin 5H ve 5T olarak hatırlanması önerilmektedir. Yakın zamana kadar bu listeye hipoglisemi ve travma da eklenmiş...
ADA/EASD/JBDS/AACE/DTS 2024 Konsensusuna Göre Diyabetik Ketoasidoz (DKA): Acil Servis Yaklaşımı
2024’te American Diabetes Association (ADA) ve European Association for the Study of Diabetes (EASD) öncülüğünde; JBDS, AACE ve DTS’nin de yer aldığı uluslararası bir...
REÇETELER
Daha Fazla
Periferik Fasiyal Paralizi Reçetesi
Periferik fasiyal paralizi, fasiyal sinirin (VII. kraniyal sinir) santral sinir sistemi dışındaki bir seviyede hasarlanması sonucu, yüz kaslarının bir kısmında ya da tamamında gelişen...
İshal Reçetesi (Gastroenterit)
Gastroenterit, mide ve bağırsak kanalının mukozasında gelişen iltihabi süreç sonucu ortaya çıkan, genellikle kusma ve ishal ile seyreden bir klinik tablodur.İshal, dışkı kıvamının yumuşaması,...
OLGU SUNUMLARI
Daha Fazla
54 Yaş Göğüs Ağrısı Erkek Hasta
Hasta Bilgisi
Yaş / Cinsiyet: 58 yaşında erkekBaşvuru Nedeni: Ani başlayan göğüs ağrısı
Birincil Değerlendirme
Bilinç: Açık, koopere
Solunum: Hafif dispneik, solunum sayısı 22/dk
Dolaşım: Soğuk,...
65 Yaş Yılan Isırma Olgusu
Yılan ısırıkları çoğunlukla insan ile yılanın aniden karşılaşması sonucu ortaya çıkar. Yılan, kendini tehlikede hissedip kaçacak alan bulamadığında savunma içgüdüsüyle saldırabilir. Türkiye’de yılan ısırıkları...
Hayat Kurtaran Bilgilerin Adresi
Acil serviste zamanla yarıştığınızı biliyoruz.
Bu yüzden doğru bilgiye, uzman desteğine ve güvenilir dijital çözümlere
tek noktadan ulaşmanızı sağlıyoruz.
Acil Çalışanları Premium ve VIP Üyelik Paketleri, her nöbette yanınızda olmak için tasarlandı.
Nöbette Hızlı Destek Alın →
Acil Çalışanları Premium ve VIP Üyelik Paketleri, her nöbette yanınızda olmak için tasarlandı.
SORULAR
MAĞAZA
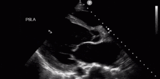
Kritik Hastalarınızın USG ile Değerlendirilmesi (POCUS)
Acil serviste nedeni henüz netleşmemiş şok ya da kritik hastalık tablosundaki hastada ultrason artık lüks değil, temel bir değerlendirme aracıdır. POCUS (yatak başı ultrason),...
RUSH Protokolü Kritik Hasta Değerlendirme
RUSH (Rapid Ultrasound in Shock and Hypotension) protokolü, şok hastasında hızlı etiyolojik değerlendirme amacıyla uygulanır ve temel olarak üç ana bileşeni inceler: “Pump, Tank,...
Miksödem Koması
Miksödem koması, hipotiroidizmin en ağır ve en ölümcül klinik tablosu olup, nadir görülmesine rağmen acil tıpta yüksek mortalite riski nedeniyle kritik öneme sahiptir. Tiroid...
Bilinç Değikliği
Değişmiş mental durum (altered mental status), acil serviste ve klinik pratikte sık karşılaşılan önemli bir başvuru nedenidir. Erken bulguların tanınması, altta yatan nedenin hızlı...
Hemorajik İnme (Stroke) Acil Yaklaşım
Hemorajik inme, serebrovasküler olayların yaklaşık %10–15’ini oluşturmasına rağmen en yüksek mortalite oranına sahip inme tipidir. Beyin parankimi içine (intraserebral kanama) veya subaraknoid aralığa (subaraknoid...
Aritmi Yönetimi
Aritmiler, kalbin elektriksel uyarısının oluşması veya iletilmesindeki bozulma sonucu ortaya çıkan ritim bozukluklarıdır. Acil serviste aritmi yönetiminde temel amaç; hastayı hızlıca stabilize etmek, hemodinamik...
Hipovolemik Şok
Hipovolemik şok, acil serviste ve yoğun bakım pratiğinde en sık karşılaşılan ve en hızlı müdahale gerektiren yaşamı tehdit eden klinik tablolardan biridir. İntravasküler volümün...
Acil Kontrasepsiyon (Postkoital Kontrasepsiyon)
Postkoital kontrasepsiyon olarak da bilinen acil kontrasepsiyon, kadınların korunmasız cinsel ilişkiden sonra istenmeyen gebelikten kaçınmalarını sağlayan bir müdahaledir. Genellikle korunmasız cinsel ilişki sonrasında olası...
Batın (Abdominal) Travmasına Acil Yaklaşım
Abdominal travmalar, acil servislerde sık karşılaşılan ve hızlı tanı ile etkin yönetim gerektiren önemli travma nedenlerindendir. Travmanın şiddeti; hafif karın ağrısından, masif intraabdominal kanama...
Dağılımsal (Distribütif) Şok
Distributif şok, sistemik vazodilatasyon, kapiller geçirgenlik artışı ve göreceli intravasküler volüm kaybı ile karakterize; beyin, kalp ve böbrekler başta olmak üzere hayati organlara giden...
Zor Supraglottik Airway
Supraglottik airway’ler (LMA, i-gel, laryngeal tube vb.), entübasyonun başarısız olduğu veya geciktiği durumlarda hızlı oksijenizasyon sağlamak amacıyla sıklıkla kullanılır. Ancak bazı hasta gruplarında SGA...
NEXUS Göğüs BT Kriterleri (Künt Toraks Travması)
NEXUS Göğüs BT kriterleri, künt toraks travması olan hastalarda göğüs BT çekimine gerek olup olmadığını belirlemek amacıyla geliştirilmiştir. Amaç; gereksiz BT’leri azaltırken, klinik olarak...
Demiyelinizan Hastalıklar
Acil servise başvuran akut veya subakut nörolojik defisitli hastalarda demiyelinizan hastalıklar mutlaka ayırıcı tanıda düşünülmelidir. Özellikle ani gelişen güçsüzlük, duyu kaybı, görme bozukluğu, mesane–bağırsak...
Kalsiyum Kanal Blokeri Zehirlenmesi
Kalsiyum Kanal Blokeri (KKB) zehirlenmesi, acil serviste yüksek mortalite riski taşıyan, kardiyovasküler kollaps, ağır hipotansiyon, bradikardi ve şok ile seyredebilen önemli bir toksikolojik acildir....






























































































